<사지변형>
아이의 삐뚤빼뚤한 걸음걸이,
혹시 뼈 건강의 이상 신호?!
⚊
사지 변형은 외모뿐 아니라 성장과 일상생활에도 영향을 줄 수 있는 만큼, 조기 발견과 관리가 중요합니다. 아이의 신발 밑창이 한쪽만 빨리 닳는다거나 걸음걸이가 비뚤어져 보인다면, 소아정형외과 전문의에게 진료를 받아보는 것이 좋습니다.

사지 변형이란?
사지, 즉 팔과 다리가 휘어 있거나 양쪽의 길이에 차이가 있고, 걸음걸이가 심하게 비뚤어지거나 좌우가 다를 때 이를 넓은 의미에서 ‘사지 변형’이라 부릅니다. 흔히 알려져 있는 안짱걸음(내족지 보행)이나 팔자걸음(외족지 보행)이 대표적인 사지 변형입니다. 뼈의 길이, 정렬, 회전 가운데 하나 이상이 정상 범위를 벗어난 상태를 뜻하는 사지 변형은 단순히 모양만의 문제가 아닙니다. 시간이 지나면서 무릎이나 고관절, 발목 등에 부담이 쌓여 통증과 피로를 일으키며, 이로 인해 활동성이 떨어지고 자신감에도 영향을 줄 수 있습니다.
- 하지부동 : 다리 길이가 서로 다른 상태
- 각 변형 : 뼈가 휘어진 상태(O다리, X다리)
- 회전 변형 : 뼈의 비정상적인 회전으로 발생하는 회전 변형(내족지·외족지 보행)
사지 변형의 원인
- 선천적인 요인 : 태어날 때부터 가지고 있는 유전적 문제나 뼈의 발달 이상 등
- 대사성 요인 : 영양 불균형이나 비타민D 부족으로 생기는 구루병 등
- 외상 요인 : 성장판 손상, 골절 치유 과정에서 발생
- 신경·근육 요인 : 뇌성마비와 같은 신경·근육 질환, 근육 약화로 인한 뼈 이상 등
- 기타 : 특별한 질환이 없어도 소아의 정상적인 성장 과정에서 일시적으로 O다리나 X다리, 안짱걸음 등이 나타나는 경우도 있습니다.
사지 변형의 증상
소아에서 사지 변형은 주로 눈에 보이는 다리 모양의 차이나 걸음걸이의 이상으로 드러납니다. 변형이 심하면 좌우의 걸음걸이가 비대칭적이고, 아이가 쉽게 피로해하며, 운동 시 통증이 생기거나 신발 밑창이 한쪽만 빨리 닳고, 자주 넘어지는 등의 증상이 나타날 수 있습니다. 통증이 없다고 방치해서는 안 됩니다. 나이에 비해 변형이 심하지는 않은지, 좌우 차이가 두드러지지는 않는지, 절뚝거림이나 밤에 생기는 통증은 없는지 살펴보는 것이 중요합니다. 성인의 경우에는 변형이 장기간 지속되면서 무릎이나 고관절, 발목의 관절염으로 진행하기도 합니다.
- 이럴 땐 소아정형외과 전문의를 만나보세요
- 두 돌 이후에도 심해지는 O다리
- 초등 고학년이 되어도 뚜렷하게 남아 있는 X다리
- 좌우 다리의 모양이 다르거나 길이 차이로 절뚝거리는 경우
- 성장판 골절 이후 시간이 지나면서 다리 모양이 변해가는 경우
사지 변형의 다양한 치료법
사지 변형의 치료 방법은 환아의 나이, 변형의 정도, 일상에서 느끼는 불편함의 정도에 따라 달라집니다. 일상생활에 큰 지장이 없으면 생활 관리와 정기 관찰만으로 충분할 수 있습니다. 그러나 변형이 심하거나 불편함이 큰 경우에는 성장 단계와 상태에 맞는 수술적 접근이 필요합니다.
- 성장조절술
성장판이 열려 있는 아이에게 많이 사용되는 성장조절술은 한쪽 성장판의 성장을 일시적으로 억제해 시간이 지나면서 다리 길이나 각도가 서서히 교정되도록 하는 방법입니다. 일반적으로 심하지 않은 O다리나 X다리, 경미한 다리 길이 차이에 적용합니다. 흉터가 작고 회복이 빠르지만, 효과가 나타나기까지 시간이 필요하고 성장이 끝난 아이에게는 사용할 수 없습니다. 또 교정이 완료된 후에도 성장 과정에서 일부 각도가 다시 돌아오는 ‘성장 반동’ 현상이 나타날 수 있습니다. 따라서 성장판이 완전히 닫힐 때까지 정기적으로 추적 관찰을 받아야 합니다.
- 절골 교정술
성장이 끝난 환자나 변형이 심한 경우에는 절골 교정술이 효과적입니다. 이 수술은 뼈를 잘라 바른 위치로 되돌린 뒤 금속 장치로 고정하는 방식으로, 수술 직후 곧바로 교정 효과를 볼 수 있습니다. 그러나 절골된 뼈가 단단히 붙을 때까지 약 2-3개월이 소요되며, 그동안은 목발 보행 등 활동에 제약이 따릅니다.
- 골연장술
양쪽 팔다리의 길이 차이가 큰 경우에 주로 시행하는 수술로, 외부 고정 장치나 내부 금속정을 이용해 뼈를 서서히 늘려 균형을 맞추는 방법입니다. 대체로 외부 고정 장치를 많이 사용하는데, 연장 기간 동안 날마다 정해진 횟수만큼 뼈를 조금씩 늘려야 하고, 핀 주변 소독도 꾸준히 해줘야 합니다. 연장된 뼈가 단단히 붙는 데도 수개월이 걸리기 때문에 환자와 보호자의 인내가 필요합니다.
수술 후에는 일상 복귀를 목표로 단계적인 회복 과정을 밟게 됩니다. 먼저 통증을 조절하고, 관절이 굳지 않도록 운동을 시작합니다. 이를 통해 점차 근육의 힘과 균형을 회복해 자연스러운 보행으로 돌아가게 하는 것입니다. 재활 프로그램은 환자의 상태와 수술 방법에 따라 개별적으로 조정됩니다. 치료 결과는 원인과 나이, 교정의 범위에 따라 달라지지만, 적절한 시기에 치료를 진행하면 기능 회복과 외관 교정을 동시에 기대할 수 있습니다. 치료 과정에서 불편함과 주의할 점이 뒤따르나, 사지 변형이 적절하게 교정되고 성장이 완료되면 대부분 재발이 드물고 안정적인 결과를 얻을 수 있습니다.
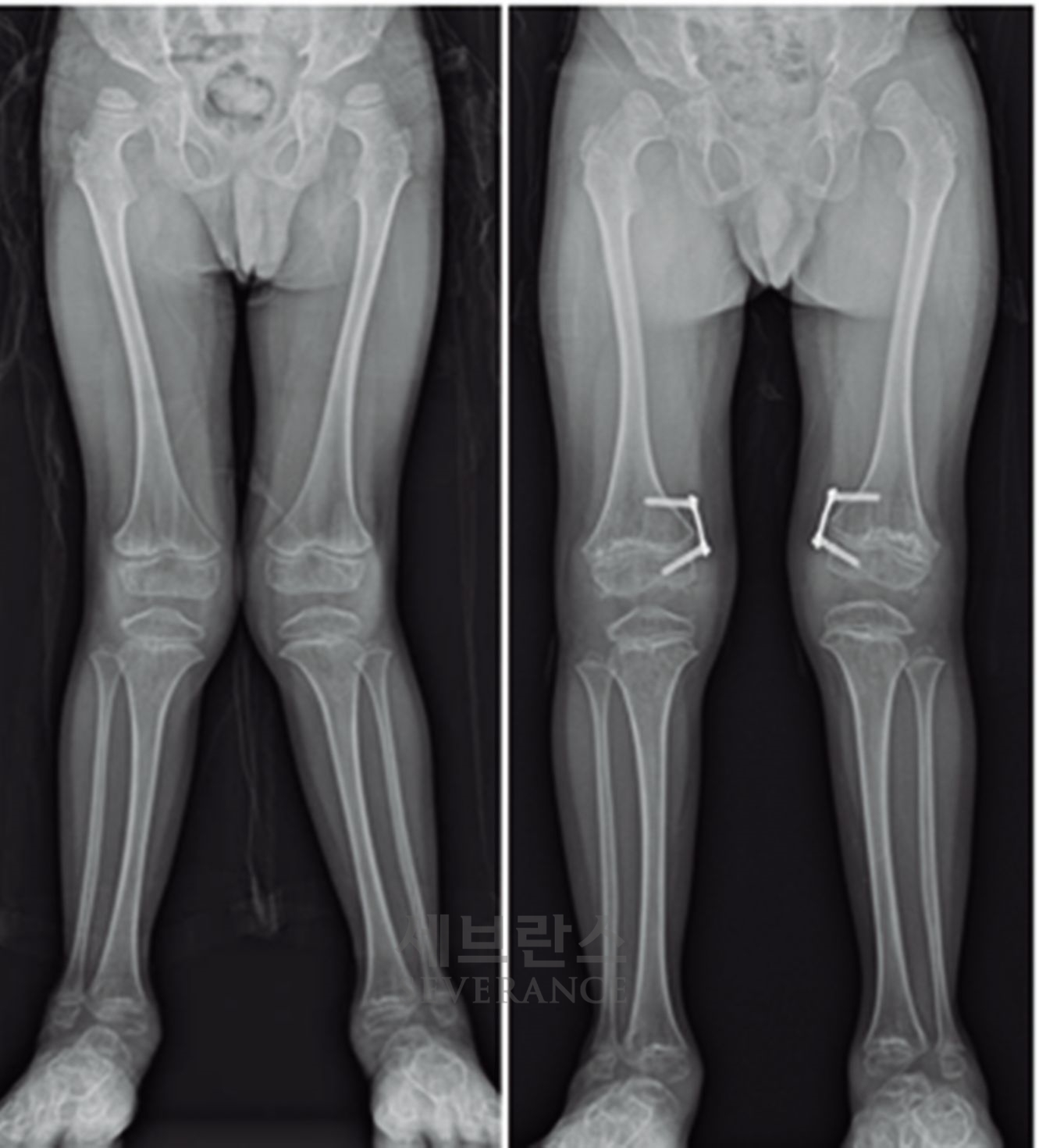
특발성 대사성 질환으로 인한 외반슬(X다리)에서 성장조절술을 시행한 환아성장판
구루병으로 발생한병적 내반슬(O다리) 변형에 대해
절골 교정술을 시행한 환아
성장판 손상으로 발생한 좌측 외반슬 및 하지부동에 대해 골연장술과 교정술을 동시에 시행해 치료한 환아
남은 성장까지 고려해 치료 계획 수립
사지 변형 진료는 기본적으로 진찰과 X선 촬영으로 시작합니다. 의사가 걸음걸이와 자세를 살펴보고, 관절이 움직이는 범위, 다리의 길이와 정렬, 회전 상태를 확인합니다. 구루병 등의 대사성 질환이 의심될 때는 혈액검사로 비타민D의 수치를 확인합니다. 또한 필요에 따라 CT 또는 MRI 등의 정밀 영상검사를 시행하고, 보행 분석을 통해 걸음걸이의 대칭성과 발에 가해지는 압력까지 평가하기도 합니다. 이렇게 얻은 정보를 종합해 환자의 현재 상태를 파악하고, 치료 시기와 방법을 결정합니다. 특히 성장기 아동은 남은 성장까지 고려해 치료 계획을 세워야 합니다.
치료 성패, 정확한 진단이 좌우한다
사지 변형의 치료 성패는 무엇보다 정확한 진단에 달려 있습니다. 많은 보호자들이 아이 팔다리의 변형을 걱정하며 병원을 찾지만, 실제로는 정상적인 성장 과정에서 일시적으로 나타나는 수준인 경우가 많습니다. 이와 반대로 치료가 반드시 필요한 변형임에도 단순히 깔창이나 보조기, 재활치료 같은 보조적 치료에만 의존하다가 적절한 시기에 치료하지 못하는 경우도 있습니다. 특히 성장판이 열려 있을 때만 가능한 치료가 있기 때문에, 시기를 놓치면 더 큰 수술이 필요할 수 있습니다. 따라서 아이의 잔여 성장량을 고려해 언제 어떤 방법으로 교정할지 결정하는 것이 매우 중요합니다. 또한 변형이 심하면 단순히 다리 모양의 문제가 아니라 무릎과 발목, 허리에 직접적인 부담을 주고, 나아가 성인이 되었을 때 관절염으로 이어질 수 있다는 점도 꼭 이해해야 합니다.
일상에서는 과도한 깔창이나 불필요한 교정구 사용을 자제하고, 필요하다면 전문의와 상의하는 것이 안전합니다. 사지 변형의 작은 신호들을 놓치지 않고 조기에 진단받는다면, 아이의 성장 과정에서 적절한 시기에 맞춤 치료를 진행할 수 있으며, 더 큰 수술을 피할 수도 있습니다.


